Cấy hạt phóng xạ xâm lấn tối thiểu – giữ lại phẩm giá và mở ra cơ hội sống mới cho bệnh nhân ung thư tuyến tiền liệt nguy cơ cao
-
110
-
2026-04-17
-
chia sẻ
Tháng 2 năm 2025, ông Trần Lợi Phúc, 58 tuổi, đã bay từ Makassar (Indonesia) đến Quảng Châu để điều trị.
6 tháng trước đó, trong một lần khám sức khỏe định kỳ, ông bất ngờ phát hiện chỉ số PSA tăng cao bất thường (29,37 ng/ml ↑). Sau khi kiểm tra chuyên sâu, ông được chẩn đoán mắc ung thư tuyến tiền liệt.
Lúc ấy, ông từng nghĩ ung thư đồng nghĩa với tuyệt vọng, đau đớn và đánh mất phẩm giá của một người đàn ông.
Nhưng mọi suy nghĩ đó đã thay đổi, kể từ khi ông bước vào hành trình điều trị kéo dài 240 ngày tại Bệnh viện Ung bướu St.Stamford Quảng Châu.

Ông Trần Lợi Phúc
Không có bất kỳ triệu chứng nào… nhưng ung thư đã âm thầm xuất hiện
Đó chỉ là một lần khám sức khỏe định kỳ, nhưng lại thay đổi hoàn toàn cuộc đời của ông Trần Lợi Phúc.
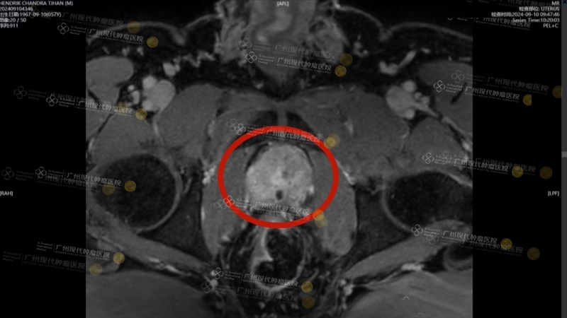
Kết quả MRI cho thấy trong tuyến tiền liệt có một khối choán chỗ kích thước 2.6x3x2cm. Kết quả giải phẫu bệnh xác định là ung thư biểu mô tuyến, với điểm Gleason 7.
“Tôi hoàn toàn không có triệu chứng gì – không đau, không tiểu gấp, không tiểu nhiều. Vậy mà kết quả lại là ung thư. Lúc đó, tôi thật sự sững sờ.”
Sau cú sốc ban đầu, ông không chọn chần chừ.
Tại Makassar (Indonesia), ông tình cờ biết đến Văn phòng Đại diện St.Stamford Quảng Châu. Trong quá trình tư vấn từ xa, bác sĩ đã phân tích kỹ tình trạng bệnh và bước đầu đề xuất phương pháp điều trị xâm lấn tối thiểu – không cần cắt bỏ tuyến tiền liệt, đồng thời hạn chế ảnh hưởng đến chất lượng cuộc sống.
Chính lời giải thích đó đã mở ra một hướng đi khác cho ông trong thời điểm tưởng chừng bế tắc.
“Tôi không chỉ muốn sống, mà còn muốn sống một cách trọn vẹn.”
Và đó là lý do ông quyết định lên đường sang Trung Quốc để điều trị.

Bức ảnh chụp đôi vợ chồng ông Trần Lợi Phúc tại Văn phòng Đại diện St.Stamford Quảng Châu ở Makassar
Cuộc chiến với hạt phóng xạ: Chính xác, ấm áp, không có khói súng
Tháng 10 năm 2024, ông Trần Lợi Phúc lần đầu tiên bước vào Bệnh viện Ung bướu St.Stamford Quảng Châu.
Đội ngũ chẩn đoán và điều trị đa chuyên khoa đã thiết kế cho ông phác đồ xâm lấn tối thiểu kết hợp cấy hạt phóng xạ + điều trị nội tiết – vừa tiêu diệt tế bào ung thư một cách chính xác, vừa tối đa hóa khả năng giữ gìn chức năng tiết niệu và sức khỏe tổng thể.
Ngày điều trị, ông yên lặng nằm trên bàn thao tác, dưới sự hướng dẫn hình ảnh trực tiếp, từng hạt phóng xạ nhỏ được đặt chính xác vào vùng khối u. Giống như gieo mầm hy vọng, các hạt phóng xạ tiếp tục phát tác trực tiếp lên khối u.
“Không cần mổ, gần như không đau,” ông chia sẻ. Điều khiến ông xúc động hơn cả là thái độ của đội ngũ y bác sĩ: “Bác sĩ và y tá luôn kiên nhẫn giải thích, phiên dịch viên đồng hành suốt quá trình, từng chi tiết nhỏ đều khiến tôi cảm thấy yên tâm, như thể tôi không phải chiến đấu một mình.”
“Khối u gần như biến mất, còn tôi, vẫn nguyên vẹn”
Khi trở về Indonesia, ông tái khám định kỳ, và mỗi lần chỉ số PSA giảm đều tiếp thêm niềm tin cho ông. Kết quả MRI mới nhất cho thấy khối u đã thu nhỏ rõ rệt, gần như biến mất.
“Tôi biết ơn nhất là không bị tiểu không kiểm soát, không mất chức năng cơ thể. Tôi vẫn là chính tôi, chỉ khác là trong cơ thể không còn một ‘quả bom hẹn giờ’,” ông nói, giọng trầm nhưng pha lẫn một chút rung động.
Điều trị không chỉ kìm hãm tế bào ung thư, mà còn bảo vệ vai trò và phẩm giá của ông như một người cha, người chồng.


Sau điều trị xâm lấn tối thiểu, khối u tuyến tiền liệt khoảng 3 cm gần như “biến mất hoàn toàn”.
Sự ấm áp vượt biên giới: Tri ân những “anh hùng thầm lặng” phía sau hợp tác y tế Trung – Indonesia
“Từ câu nói ‘Chào mừng ông Trần, ông đã đến’ của tài xế đón sân bay, cho đến sự kiên nhẫn, tỉ mỉ của phiên dịch viên trong mỗi lần trao đổi, tôi cảm nhận không chỉ là sự quan tâm của một bệnh viện, mà còn là sự ấm áp thực sự mà hợp tác y tế giữa hai nước mang lại,” ông Trần Lợi Phúc chia sẻ.
Ông hiểu rằng, sức khỏe của mình đứng sau là nỗ lực của vô số nhân viên, bác sĩ và các tổ chức thúc đẩy trao đổi y tế Trung – Indonesia.
“Chính nhờ những mối quan hệ hữu nghị này, nhiều gia đình Indonesia bình thường mới có cơ hội tiếp cận các công nghệ y tế tiên tiến của Trung Quốc. Đây mới thực sự là hợp tác mang lại lợi ích cho mạng sống con người.”

Bức ảnh ông Trần Lợi Phúc cùng vợ và đội ngũ y bác sĩ sau khi điều trị ung thư thành công
“Gia đình là sức mạnh vừa mềm mại vừa kiên định trên hành trình chống ung thư của tôi”
Trong suốt quá trình điều trị, vợ và con gái ông luôn đồng hành bên cạnh.
“Họ không nói quá nhiều lời an ủi, nhưng từng ánh mắt, mỗi bữa cơm được chuẩn bị tỉ mỉ, từng câu ‘Bố hôm nay cảm thấy thế nào?’ đều là lý do để tôi tiếp tục kiên cường,” ông chia sẻ.
“Chống ung thư không phải là việc của một người, mà là việc của cả gia đình. Nếu không có sự thấu hiểu và ủng hộ của họ, tôi đã không thể đi đến ngày hôm nay.”

Ông Trần Lợi Phúc tham gia buổi chia sẻ kinh nghiệm chống ung thư, truyền cảm hứng và niềm hy vọng cho những bệnh nhân đang chiến đấu với căn bệnh.

Bức ảnh ông Trần Lợi Phúc cùng vợ, nụ cười rạng rỡ sau khi vượt qua căn bệnh ung thư.

Vợ chồng Trần Lợi Phúc tham gia hoạt động kỷ niệm 1 năm Văn phòng Đại diện St.Stamford Manado.
“Phát hiện sớm, chọn đúng bệnh viện, cuộc sống có thể nở hoa một lần nữa.”
Hiện tại, ông Trần Lợi Phúc đã quay lại với nhịp sống bình thường, nhưng ông vẫn luôn ghi nhớ lời căn dặn của các chuyên gia ung bướu tại Bệnh viện ung bướu St.Stamford Quảng Châu. Ông cũng thường chia sẻ với những người thân, bạn bè là nam giới rằng nên đi kiểm tra chỉ số PSA định kỳ, đừng đợi đến lúc có triệu chứng mới đi khám. Qua câu chuyện của mình, ông hy vọng có thể nhắn nhủ tới những người đang chiến đấu với ung thư: Đừng bao giờ từ bỏ hy vọng. “Sự phát triển của y học hiện đại đã khiến ung thư không còn đáng sợ như trước. Điều quan trọng là bạn có sẵn lòng cho bản thân một cơ hội, để bước chân vào một bệnh viện thực sự thấu hiểu và giúp đỡ được mình hay không.”