Dùng sức mạnh của y học tích hợp để bảo vệ chất lượng cuộc sống ——Giáo sư Vương Bảo Lợi từ Bệnh viện ung bướu St.Stamford Quảng Châu được mời báo cáo chuyên đề tại Diễn đàn Ung thư ASEAN
Tại Diễn đàn Y học Tích hợp Ung thư Quốc tế ASEAN lần thứ 6 vừa kết thúc, bài báo cáo chuyên đề mang tên "Chiến lược điều trị đau do ung thư —— Góc nhìn tích hợp Đông Tây y" do Giáo sư Vương Bảo Lợi từ Bệnh viện ung bướu St.Stamford Quảng Châu trình bày đã mang lại những hiểu biết lâm sàng mới và lộ trình chẩn toán, điều trị có thể áp dụng rộng rãi. Bài báo cáo này không chỉ đưa ra các bằng chứng dịch tễ học quan trọng trong lĩnh vực đau do ung thư trên toàn cầu, mà còn trình bày lộ trình quản lý toàn diện của Bệnh viện ung bướu St.Stamford Quảng Châu trong việc chuẩn hóa điều trị bằng thuốc, can thiệp tối thiểu chính xác và tích hợp thân tâm hợp nhất. Nội dung này được các học giả từ nhiều quốc gia đánh giá là "phương án quản lý đau do ung thư có ý nghĩa hướng dẫn lâm sàng quốc tế".

Đối mặt với cơn đau: Không chỉ là triệu chứng mà là mấu chốt để sinh tồn
Trong bài báo cáo, Giáo sư Vương đã đưa ra các số liệu thực tế để cho thấy tình trạng đau do ung thư đang rất phổ biến và nghiêm trọng. Hiện nay, hơn một phần ba bệnh nhân ung thư trên toàn thế giới đang phải chịu đựng những cơn đau ở mức độ trung bình đến nặng. Đặc biệt, đối với những người bị ung thư đầu và cổ, tỷ lệ gặp phải các cơn đau này lên tới hơn 50%.
Đáng chú ý hơn, mức độ đau là một yếu tố độc lập ảnh hưởng trực tiếp đến chất lượng sống, thậm chí nó còn liên quan mật thiết đến việc bệnh nhân có thể sống được bao lâu. Trong một nghiên cứu về ung thư phổi giai đoạn IV, những bệnh nhân được giảm đau tốt có thời gian sống trung bình là 11,6 tháng. Trong khi đó, những người không được giảm đau tốt chỉ sống được khoảng 8,9 tháng.
Một nghiên cứu khác thực hiện trên 202 bệnh nhân ung thư giai đoạn cuối cũng cho thấy kết quả tương tự: hơn 53,9% những người được giảm đau đầy đủ đã sống hơn 6 tháng, còn ở nhóm không được giảm đau tốt thì tỷ lệ này chỉ là 37,2%. Điều này chứng tỏ rằng việc quản lý đau hiệu quả là một phần không thể thiếu trong quá trình điều trị ung thư tổng thể. Nó quyết định trực tiếp đến chất lượng sống cũng như thời gian sống của mỗi bệnh nhân.

Đối mặt với những thách thức nghiêm trọng như vậy, Giáo sư Vương nhấn mạnh rằng việc quản lý đau do ung thư một cách chính xác phải dựa trên sự hiểu biết rõ ràng về nguồn gốc của cơn đau. Ông giải thích thêm rằng nguyên nhân gây đau do ung thư rất phức tạp. Những cơn đau này chủ yếu đến từ bản thân khối u (như xâm lấn trực tiếp hoặc chèn ép), các phương pháp điều trị ung thư (như phẫu thuật, xạ trị, hóa trị) và các biến chứng đi kèm. Trong thực hành lâm sàng, dựa trên cơ chế sinh lý bệnh, đau do ung thư có thể chia thành ba loại: đau thân thể, đau nội tạng và đau thần kinh. Cách phân loại này chính là căn cứ cơ bản để đánh giá và đưa ra các chiến lược điều trị tiếp theo.

Giải pháp phá vỡ bế tắc: Sự kết hợp giữa đánh giá quy chuẩn và dùng thuốc cá thể hóa
Để giảm đau hiệu quả, việc đánh giá chính xác là điều kiện tiên quyết. Giáo sư Vương đã giải thích chi tiết về các nguyên tắc đánh giá "định kỳ, định lượng, toàn diện và liên tục" được nhấn mạnh trong "Quy chuẩn chẩn đoán và điều trị đau do ung thư (Bản năm 2018)" của Ủy ban Y tế Quốc gia Trung Quốc. Ông cũng giới thiệu ba phương pháp đánh giá cốt lõi gồm: Thang điểm đánh giá bằng số (NRS), Thang điểm biểu cảm khuôn mặt và Thang điểm phân loại mức độ đau theo lời kể (VRS). Những phương pháp này đã tạo ra một lộ trình rõ ràng cho việc thực hành lâm sàng.

(Phân loại mức độ đau theo thang điểm chủ quan)
Ở khía cạnh điều trị, Chủ nhiệm Vương đã trình bày một cách dễ hiểu nhưng sâu sắc về nguyên tắc cốt lõi của điều trị bằng thuốc. Ông không chỉ giới thiệu nguyên tắc giảm đau ba bậc kinh điển cùng các cập nhật mới nhất trong hướng dẫn, mà còn nhấn mạnh “nghệ thuật chuẩn độ” (titration) của thuốc giảm đau nhóm opioid. Việc điều chỉnh liều cần dựa trên phản ứng cá thể của từng bệnh nhân, nhằm đạt được mục tiêu điều trị cá thể hóa: tối đa hóa hiệu quả giảm đau + tối thiểu hóa tác
dụng phụ + tối đa hóa khả năng phục hồi chức năng.
Công nghệ hỗ trợ: Can thiệp xâm lấn tối thiểu mở ra hướng đi mới cho đau ung thư khó kiểm soát
Là trọng tâm của báo cáo, thông qua nhiều ca bệnh điển hình, Chủ nhiệm Vương đã làm nổi bật những ưu thế rõ rệt của kỹ thuật can thiệp xâm lấn tối thiểu trong điều trị đau ung thư khó kiểm soát, bao gồm:
· Phong bế/phá hủy thần kinh: Sử dụng phương pháp hóa học (như ethanol y tế) hoặc vật lý (như đốt lạnh) để ngăn chặn đường dẫn truyền cảm giác đau. Ví dụ, phá hủy hạch giao cảm thắt lưng dưới hướng dẫn DSA trong điều trị đau bụng do ung thư tụy giúp giảm đau rõ rệt và cải thiện khả năng vận động của bệnh nhân;
· Tạo hình thân đốt sống qua da (PVP): Giảm đau do khối u nguyên phát hoặc di căn tại thân đốt sống, đồng thời tăng cường độ vững chắc của cột sống và ức chế tiến triển của khối u tại chỗ;
· Cấy hạt phóng xạ: Đối với tổn thương tái phát hoặc di căn khu trú, kỹ thuật xạ trị trong (brachytherapy) giúp tiêu diệt chính xác tế bào ung thư, từ đó giảm đau do chèn ép;
· Hệ thống truyền thuốc giảm đau nội tủy (IDDS): Đưa thuốc trực tiếp vào khoang tủy sống với liều rất thấp nhưng đạt hiệu quả giảm đau cao, đồng thời giảm đáng kể tác dụng phụ toàn thân. Phù hợp với bệnh nhân khó dùng thuốc đường uống hoặc đáp ứng kém với điều trị toàn thân.
Thông qua hàng loạt ca lâm sàng điển hình, Chủ nhiệm Vương đã minh họa sinh động giá trị ứng dụng của kỹ thuật xâm lấn tối thiểu trong thực tiễn.
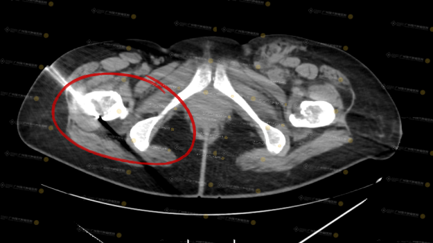
Trong đó, một trường hợp bệnh nhân ung thư vú kèm di căn xương có điểm đau (NRS) lên tới 10 trước điều trị, dù đã sử dụng liều cao thuốc giảm đau thông thường nhưng hiệu quả vẫn kém. Sau khi được hội chẩn MDT, bệnh nhân được chỉ định đốt lạnh khối u dưới hướng dẫn CT. Sau điều trị, mức độ đau giảm rõ rệt, đồng thời chất lượng cuộc sống được cải thiện đáng kể.


được chỉ định thực hiện cấy hạt phóng xạ

Điểm NRS sau điều trị
Các kỹ thuật này, trong mô hình hội chẩn đa chuyên khoa (MDT), đã cung cấp lựa chọn điều trị mới cho những bệnh nhân mà thuốc thông thường không đạt hiệu quả, đồng thời cải thiện rõ rệt chất lượng cuộc sống và trạng thái chức năng.
Điều trị tổng hợp: Xây dựng hệ sinh thái quản lý đau ung thư toàn diện
Chủ nhiệm Vương nhấn mạnh rằng điều trị đau ung thư cần vượt ra ngoài thuốc và phẫu thuật, tích hợp nhiều phương pháp khác nhau. Ông đặc biệt giới thiệu:
· Vật lý trị liệu: chườm nóng, chườm lạnh, massage, kích thích thần kinh qua da (TENS);
· Can thiệp tâm lý: liệu pháp nhận thức – hành vi (CBT), tập luyện thư giãn.
Những phương pháp này được kết hợp trong mô hình y học tích hợp “thân – tâm đồng trị”, mang đến hiệu quả điều trị toàn diện cho bệnh nhân.

Đồng thời, ông đưa ra mục tiêu lâm sàng rõ ràng — “5A” giảm đau toàn diện, tập trung vào năm khía cạnh: hiệu quả giảm đau, khả năng sinh hoạt hàng ngày, tác dụng phụ, hành vi sử dụng thuốc bất thường và tâm trạng của bệnh nhân, với mục tiêu điều trị cụ thể là: không đau hoặc đau nhẹ, và tần suất đau bùng phát < 3 lần/ngày.
Tổng kết và triển vọng: Hướng tới kỷ nguyên giảm đau chính xác “có nhiệt độ”
Trong phần tổng kết, Chủ nhiệm Vương nhấn mạnh:
“Điều trị đau ung thư là một phần quan trọng trong điều trị toàn diện khối u, liên quan mật thiết đến thời gian sống và chất lượng cuộc sống của bệnh nhân.”
Ông tiếp tục trình bày các hướng phát triển trong tương lai:
· Nâng cấp tư duy điều trị: Trong quá trình giảm đau đầy đủ, cần thể hiện các nguyên tắc sớm, cân bằng và chính xác.
· Tiến hóa mô hình điều trị: Hội chẩn đa chuyên khoa, quản lý toàn quá trình và y học tích hợp là xu hướng tất yếu trong điều trị đau ung thư. Điều trị thuốc cần kết hợp chuẩn hóa và cá thể hóa, trong khi can thiệp xâm lấn tối thiểu với ưu thế riêng biệt trở thành yếu tố then chốt nâng cao hiệu quả.


Học sĩ Phàn Đại Minh trao giấy chứng nhận Giảng viên xuất sắc cho Chủ nhiệm Vương Bảo Lợi và các giáo sư khác
Buổi chia sẻ của Chủ nhiệm Vương Bảo Lợi không chỉ là một buổi trình bày thành tựu học thuật, mà còn là sự nâng tầm tư duy điều trị. Ông truyền đạt mạnh mẽ một tư tưởng cốt lõi:
“Điều trị bệnh nhân ung thư không chỉ đơn thuần là kéo dài sự sống, mà còn là giúp họ sống một cách có ý nghĩa hơn!”
Những hiểu biết sâu sắc này, xuất phát từ thực tiễn lâm sàng, đã thêm yếu tố nhân văn và mô hình y học tích hợp vào lĩnh vực điều trị đau ung thư. Chúng chắc chắn sẽ thúc đẩy nhiều nhân viên y tế chú ý hơn đến nỗi đau của bệnh nhân, cùng nhau thắp sáng những khoảnh khắc sống có chất lượng và phẩm giá cho người bệnh ung thư.
141
2026-03-26
chia sẻ