Tuyệt cảnh • Tái khởi động sự sống: Hành trình chẩn trị xuyên biên giới của bệnh nhân ung thư nội mạc tử cung
Khi sự sống liên tiếp bị giáng những tin dữ, bà Phù Ái Cầm, 59 tuổi, một Hoa kiều Malaysia, đã từng cho rằng kịch bản cuộc đời mình gần đi đến hồi kết. Nhưng hành trình chữa bệnh vượt qua biên giới, từ Malaysia đến Trung Quốc, cuối cùng đã mở ra cho bà một chương hoàn toàn mới của sự sống.
Biến cố bệnh tật ập đến: từ “điều trị thông thường” đến từ bỏ điều trị
Tháng 9 năm 2024, dù đã bước vào thời kỳ mãn kinh và ngừng kinh, bà Phù Ái Cầm bất ngờ xuất hiện tình trạng kinh nguyệt không đều và ra máu nhiều. Sau khi thăm khám tại bệnh viện địa phương ở Malaysia, bác sĩ khuyến nghị bà phải cắt bỏ tử cung ngay lập tức. Kết quả giải phẫu bệnh sau phẫu thuật khiến tất cả bàng hoàng: ung thư nội mạc tử cung. Tuân theo lối điều trị thông thường tại địa phương là “có vấn đề thì cắt bỏ”, bà ngay sau đó bắt đầu liệu trình điều trị kéo dài 5 tuần: 5 lần hóa trị và 25 lần xạ trị.

(Phù Ái Cầm)
Tuy nhiên,tác dụng phụ do điều trị mang lại gần như đã quật ngã bà. “Tôi ăn không nổi, đi lại cũng không còn sức, cả người vô cùng suy yếu.” Phù Ái Cầm nhớ lại, khi đó bà gần như phải cố ăn chỉ để duy trì sự sống, “có lẽ đến nửa bát cơm cũng ăn không hết.” Khi bác sĩ đề nghị tiến hành đợt xạ hóa trị thứ hai (phiên bản tăng cường), cả thể chất lẫn tinh thần đều kiệt quệ, bà đã dứt khoát lựa chọn từ chối.
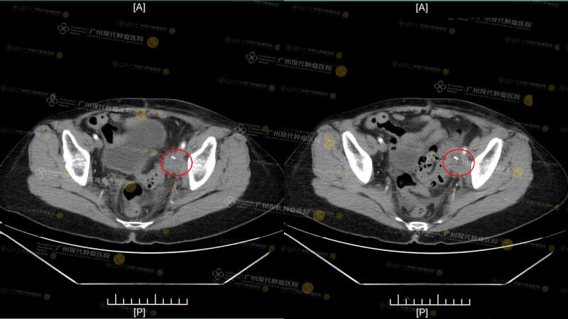
Sau khi từ chối điều trị, dường như Phù Ái Cầm đã từ bỏ mọi hy vọng, chỉ muốn tận hưởng quãng đời còn lại. Tháng 8 năm 2025, khối u và cơn đau lại ập đến dữ dội. Hạch lympho vùng chậu tái phát, to lên khoảng (3.9*3.3cm), chèn ép dây thần kinh ở chân, khiến chân trái sưng nghiêm trọng; gan cũng xuất hiện ổ di căn mới, khoảng (0.9*1.6cm). “Khi đó tôi chỉ có thể dựa vào thuốc giảm đau liều cao để duy trì giấc ngủ mỗi ngày.” Đau đớn và bất lực bám theo bà suốt ngày đêm, khiến bà không khỏi truy hỏi trong những lời cầu nguyện: “Lẽ nào quãng đời còn lại của tôi chỉ có thể như thế này thôi sao?”

(Kết quả CT này là kết quả kiểm tra nhập viện tại bệnh viện chúng tôi vào ngày 22 tháng 9)
Tuyệt cảnh lóe sáng: Từ lời cầu nguyện trong tuyệt vọng đến cánh cửa hy vọng
Giữa lúc hoàn toàn suy sụp, bước ngoặt lại bất ngờ xuất hiện. Người dì của Phù Ái Cầm ở Penang đã gửi cho bà thông tin về một buổi hội thảo điều trị ung thư. Ban đầu, trong tình trạng vô cùng tồi tệ, Phù Ái Cầm không còn chút hứng thú nào với bất kỳ thông tin nào từ bên ngoài. Thông tin ấy sau nhiều lần chuyển tiếp, cuối cùng được chồng bà đưa đến tận tay. Sau buổi lễ nhà thờ ngày Chủ nhật, ông đã đưa bà bước vào buổi hội thảo do Giáo sư Lâm Tinh của Bệnh viện Ung bướu St.Stamford Quảng Châu chủ trì.
“Ngay khi nghe phần chia sẻ của Giáo sư Lâm, tôi thực sự thấy như bừng sáng trước mắt.” Phù Ái Cầm nói, “Hóa ra vẫn còn có những kỹ thuật điều trị tiên tiến như vậy, trước đây chúng tôi hoàn toàn chưa từng hiểu đến.” Những kỹ thuật xâm lấn tối thiểu như cấy hạt phóng xạ, điều trị can thiệp được giới thiệu trong buổi hội thảo, cùng những ưu thế nổi bật như xâm lấn tối thiểu nhưng hiệu quả điều trị cao, dường như đã giúp bà nhìn thấy một khả năng mới.


(Hiện trường hoạt động trực tiếp của Giáo sư Lâm Tinh vào tháng 9 năm 2025)
Mặc dù khi đó Phù Ái Cầm đã được chẩn đoán ung thư nội mạc tử cung giai đoạn IV, nhưng sau khi phân tích các báo cáo của bà, Giáo sư Lâm Tinh vẫn đưa ra cho bà một câu trả lời chắc chắn: vẫn có thể điều trị. Điều khiến bà yên tâm hơn nữa là khi biết bệnh viện đã có Trung tâm Dịch vụ Quốc tế tại Kuala Lumpur suốt 10 năm, điều này đã giúp họ xóa bỏ phần lớn nghi ngại. Ngay trong ngày kết thúc buổi hội thảo, hai vợ chồng không hề do dự lấy một giây: “Chúng tôi quyết định ngay tại chỗ, mua vé máy bay cho tuần sau, chỉ để sang đó điều trị, không nghĩ gì khác.”
Phá thế chính xác: Kỹ thuật xâm lấn tối thiểu “không có tác dụng phụ” tạo nên bước ngoặt kỳ diệu
Ngày 21 tháng 9 năm 2025, Phù Ái Cầm nhập viện cùng chồng đi cùng. Lúc này, tình trạng của bà vô cùng không khả quan: chân trái do bị hạch lympho vùng chậu chèn ép trong thời gian dài đã xuất hiện huyết khối tĩnh mạch, khiến việc đi lại trở nên khó khăn, cả tinh thần lẫn thể trạng đều rơi xuống mức rất thấp. Vì vậy, sau khi hoàn tất các kiểm tra nhập viện, đội ngũ MDT đa chuyên khoa của Bệnh viện Ung bướu St.Stamford Quảng Châu đã xây dựng riêng cho bà một phác đồ vi xâm lấn tích hợp gồm “điều trị can thiệp tắc mạch + cấy hạt phóng xạ tại chỗ”.
Giáo sư Lâm Tinh giải thích rằng, nếu tiếp tục phẫu thuật lần nữa sẽ gây chấn thương rất lớn cho bệnh nhân; còn nếu trong thời gian ngắn lại tiếp tục xạ hóa trị, rất dễ gây tổn thương phóng xạ cho các cơ quan trong vùng chậu như bàng quang, trực tràng. Trong khi đó, ưu thế của phương án điều trị vi xâm lấn này nằm ở tính vi xâm lấn, chính xác và an toàn: điều trị can thiệp có thể đưa thuốc nồng độ cao đến chính xác vị trí khối u, tác dụng phụ toàn thân rất nhỏ; còn cấy hạt phóng xạ giống như thực hiện một cuộc “đánh phá định điểm” bên trong khối u, dùng tổn thương cực nhỏ để đạt được hiệu quả xạ trị trong.
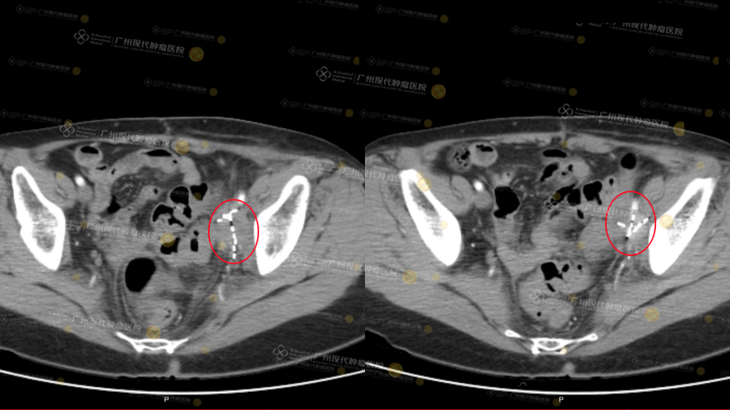
Hiệu quả thấy rõ ngay tức thì: sau lần điều trị đầu tiên kết thúc, cơn đau bụng đã hành hạ bà suốt thời gian dài liền biến mất. Sau lần điều trị thứ hai, tuần hoàn máu ở chân được phục hồi, tình trạng sưng chân trái giảm rõ rệt. “Điều này đã cho tôi niềm tin rất lớn,” Phù Ái Cầm hào hứng chia sẻ, “sau khi kết thúc lần điều trị thứ tư và chụp PET scan, thực sự có thể nhìn thấy khối u đã thu nhỏ rõ rệt.” Trải qua ba tháng điều trị, tính đến hiện tại, hạch lympho vùng chậu của Phù Ái Cầm về cơ bản đã mất hoạt tính hoàn toàn, khối u ở gan đã biến mất, đánh giá hiệu quả điều trị tổng thể có thể đạt PR.

(Vùng chậu: sau 2 lần điều trị, khối u thu nhỏ 80%)(Phần tô sáng màu trắng là các hạt được cấy vào)

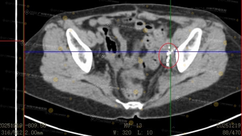
(Sau 4 lần điều trị, kết quả tái khám ngày 19 tháng 12 năm 2025 cho thấy khối u về cơ bản đã mất hoạt tính hoàn toàn)
Điều khiến bà bất ngờ hơn nữa chính là chính quá trình điều trị này. “Nó hoàn toàn không có tác dụng phụ, không hề có nôn ói hay chán ăn. Chỉ là trong ngày kết thúc điều trị can thiệp, tôi cần nằm trên giường 24 giờ không được xuống đất, sau đó thì có thể ăn uống, sinh hoạt như bình thường.” Điều này khác một trời một vực so với trải nghiệm đau đớn khi xạ hóa trị trước đó.

“Quan trọng nhất là tôi đã hồi phục toàn diện theo cách có thể nhìn thấy bằng mắt thường.” Phù Ái Cầm cười nói, “Lúc mới nhập viện, tôi chỉ muốn trốn trong phòng, còn đến bây giờ tôi đã sẵn sàng giao tiếp, kết bạn rồi.” Sự đổi mới từ trong ra ngoài này đã giúp bà tìm lại dũng khí và niềm vui sống.
Tái thiết sự sống: Tìm thấy “ngôi nhà thứ hai” nơi đất khách quê người
“Ở đây, từ Giáo sư Lâm Tinh đến bác sĩ điều trị chính, rồi đội ngũ điều dưỡng, họ đã hợp thành một ‘đội ngũ riêng’ lấy tôi làm trung tâm.” Phù Ái Cầm nhớ lại, “Trước mỗi lần điều trị, giáo sư đều kiên nhẫn giải thích phác đồ điều trị, các y tá cũng luôn tinh tế quan tâm đến sự thay đổi cảm xúc của tôi.”

(Giáo sư Lâm Tinh hằng ngày đi thăm phòng bệnh, quan tâm đến tình trạng của bà Phù)

(Hai vợ chồng chụp ảnh cùng Giáo sư Lâm Tinh và các nhân viên y tế khác)
Chồng của Phù Ái Cầm, ông Ngô, cũng cảm nhận rất sâu sắc về điều này: “Khi vợ tôi có chuyển biến rõ rệt ngay sau lần điều trị đầu tiên, chúng tôi đã nói với nhau rằng: ‘Lựa chọn của chúng tôi là đúng.’”

(Hai vợ chồng tựa vào nhau)
Trong thư cảm ơn gửi đến bệnh viện, hai vợ chồng đã chân thành bày tỏ: “Cảm ơn toàn thể nhân viên y tế của bệnh viện, Giáo sư Lâm, Bác sĩ Đổng, cùng tất cả các nhân viên. Nơi đây đã giống như ngôi nhà thứ hai của chúng tôi.”


(Thư cảm ơn viết tay của hai vợ chồng)
Sự hồi đáp của lòng biết ơn: Vợ chồng đồng lòng, trở thành người gieo mầm hy vọng
Giờ đây, Phù Ái Cầm như được tái sinh cùng chồng mình đã biến lòng biết ơn thành hành động, trở thành những người tích cực lan tỏa phương pháp điều trị xâm lấn tối thiểu. Sau khi trở về Malaysia, họ bắt đầu chia sẻ trải nghiệm này với những người xung quanh, thậm chí khi trò chuyện với dược sĩ tại hiệu thuốc, họ cũng chủ động giới thiệu về điều trị xâm lấn tối thiểu và chia sẻ các thông tin liên quan đến Bệnh viện Ung bướu St.Stamford Quảng Châu.

“Bệnh viện Ung bướu St.Stamford Quảng Châu đã thành lập được 20 năm, điều đó cũng có nghĩa là kỹ thuật xâm lấn tối thiểu này đã tồn tại ở Trung Quốc hơn 20 năm, vậy mà chúng tôi lại hoàn toàn không hề biết đến.” Phù Ái Cầm chân thành nói, “Tôi thực sự vô cùng khâm phục. Vì vậy, điều chúng tôi có thể làm chính là cố gắng hết sức mình để chia sẻ tin tốt này, truyền nó đến những người đang cần, để họ cũng có dũng khí và cơ hội đứng dậy một lần nữa.”
Từ chỗ từ bỏ điều trị đến tái khởi động sự sống, hành trình “tái sinh” trong ba tháng của Phù Ái Cầm là một con đường được cùng nhau lát nên bởi tuyệt vọng, cơ duyên, niềm tin, kỹ thuật và sự chăm sóc nhân văn. Giờ đây, người bệnh ung thư nội mạc tử cung từng bị cơn đau hành hạ đến mức cả thể xác lẫn tinh thần đều kiệt quệ ấy đang dùng chính sự hồi sinh của mình để truyền đi với thế giới một niềm tin kiên định rằng: khi đối mặt với ung thư, đừng từ bỏ, luôn sẽ có những phương pháp tốt hơn đáng để thử.
128
2026-03-09
chia sẻ